
など、
矯正歯科に対して
疑問や不安がある方は
ぜひ当院へご相談ください!
矯正治療を受けたい方に
かなえ歯科・矯正歯科クリニックが
選ばれるのには、6つの理由があります。

より専門性の高い治療が受けられる
半田市の歯医者 かなえ歯科・矯正歯科クリニックには、矯正治療の専門的な知識・技術を認められている日本矯正歯科学会の認定医が在籍しており、また、院長も日本成人矯正歯科学会の認定研修を修了しています。
数々の臨床実績によるノウハウを活かし、より高精度な矯正治療をご提供しており、インビザライン(マウスピース矯正)のみでは改善が難しい症例でも、他装置を併用することで幅広く対応しています。
歯並びを治したいけど「治療にはいくらかかるんだろう?」「矯正って痛いのかな?」となかなか一歩が踏み出せないという方に、半田市の歯医者 かなえ歯科・矯正歯科クリニックでは矯正に関する相談を随時受け付けています。
歯並びやお口のお悩みをしっかり伺った上で、当院で行う矯正治療の詳しい内容について、丁寧に説明いたします。ご自身やご家族の方の矯正治療をご検討中の方は、ぜひ一度ご相談へお越しください。

短時間のスキャンで簡単に精密な歯型がとれる
半田市の歯医者 かなえ歯科・矯正歯科クリニックでは、矯正治療のための歯型採取に3D光学スキャナー「iTero」を活用しています。従来の歯型取りとは大きく異なり、お口の中をスキャンするだけで歯型データが採得できるため、印象材による歯型取りに比べて患者さまの負担を極力抑えつつも、フィット感の高い高精度なマウスピースの作製に貢献します。
また、iTeroで取得したデータはすぐに画面上で確認でき、事前に治療後の歯並びを確認できる3Dシミュレーションを行うことで安心して治療に臨むことができます。

矯正専門でない「総合歯科」だからできる
当院は矯正歯科専門の歯科医院ではありません。ですから、矯正治療を行う上で必要な抜歯や、虫歯や歯周病などの一般治療をはじめ、定期的な歯科検診や予防ケア、インプラントやセラミック治療、ホワイトニングまで幅広く対応が可能です。
矯正治療中に他の歯科治療が必要になった場合でも、一時的に他院へ通う必要がなく全て当院で完結することができ、歯並びだけでなく様々な観点から総合的なお口の健康と美を考慮した歯科治療をご提供します。

お口周りの筋肉バランスの
トレーニングで
半田市の歯医者 かなえ歯科・矯正歯科クリニックでは、矯正治療による効果を高めたり、治療後の後戻りを防止する効果もあるMFT(口腔筋機能療法)を必要に応じて行っています。舌や唇の正しい位置を覚え、お口周りの筋肉を正しく鍛えることで、歯並びはもちろん、発音・滑舌を良くしたり、不正咬合の要因となる悪い癖を解消できます。

24回までは手数料無料でご利用いただける
高額の矯正治療費、一括で払うのはちょっと...という方もいらっしゃると思います。当院では、24回まで手数料無料の分割払いや、デンタルローンにも対応していますので、ぜひご利用ください。
また、お支払いにはクレジットカードもご利用いただけます。
長くお付き合いする矯正治療だから

院内での
無料託児サービス

厚生労働省
認定医院

プライバシーを守る
個室診療室

家族で入れる
ファミリールーム
どうやって
歯並びを整えるの

「歯並びが気になっているけど、矯正って...」



そんなイメージをお持ちの方に
おすすめなのが

アメリカで生まれた「インビザライン」は透明で目立ちにくく、取り外しができるマウスピース型の矯正装置です。段階的に分けられたマウスピースを交換していくことで歯を移動させるため、治療における痛みが少なく、幅広い年代の方から人気が高まっています。
前歯のデコボコだけなど箇所を絞って歯並びを整える「部分矯正」にも対応でき、世界で1500万人以上(2023年3月時点)の患者さまがインビザラインで矯正治療を受けています。
MERIT








顎の発育を利用し、
永久歯が正しく並ぶための
『土台』をつくる治療
しっかり噛める、
より美しい歯列に動かす
『仕上げ』の治療

取り外せるからお子さまの負担が少ない
透明で装着していても気付かれにくい、マウスピース型の装置を使って歯並びを整えます。インビザラインはお口にフィットする柔らかい素材でできているので、ワイヤー矯正に比べて治療中の痛みを抑えられます。また、自由に着け外しできほぼ普段通りに生活することができるため、お子様の心身の負担を極力抑えた矯正治療が可能です。

お口の悪い癖を解消し、良い歯並びへ導く
プレオルソとは、顎の骨の成長やお顔周りの筋肉の発達を正しくコントロールすることで、お口をポカンと開ける/口呼吸といった歯並びや噛み合わせを乱す原因となる悪習癖を改善し、歯並びを整える矯正装置です。
上下一体の柔らかい装置で装着時の痛みが少なく、寝る時と日中の1時間だけなのでお子さまへの負担も軽減しながら治療が可能です。

顎を拡げ、歯が正しく並ぶ
スペースをつくる
床(=歯の土台となる部分)に取り付け、ネジを回すことで床を拡大させ歯の生えるスペースを確保する矯正方法です。乳歯と永久歯が混ざって生えている時期に行うことで、抜歯をせずに歯並びを整える可能性が高まります。
ゆっくりと負荷をかけて幅を拡げるため痛みは少なく、取り外しのできる装置なので比較的治療のストレスも軽減できます。



取り外せるマウスピース型の矯正装置
透明で見た目に影響しにくい「インビザライン」を使用した全顎矯正です。
矯正装置の見た目が気になるという方におすすめです。また、取り外しできることからお口と装置双方のメインテナンスも簡単で、虫歯や歯周病のリスクを軽減でき、日常生活に支障をきたす心配もありません。

歴史が長く最も汎用性の高い矯正方法
歯にブラケットと呼ばれる留め具を取り付け、そこにワイヤーを通して歯に負荷をかけることで歯並びを整えます。最も一般的な治療方法で実績も多いため様々な症例に対応でき、難症例でも治療が可能です。
半田市の歯医者 かなえ歯科・矯正歯科クリニックでは、透明で目立ちにくいブラケットを使用していますので、見た目が気になる方でも安心です。

「気になる部分だけ」で負担を軽減できる
前歯のデコボコだけなど、比較的軽い歯並びの乱れの場合は、部分矯正でスポット的に歯並びを整えることも可能です。治療する箇所が限られるため、治療期間も短縮でき、費用も全顎矯正に比べると大幅に抑えられます。
ただし、部分矯正で対応できるかどうかは診断内容により異なりますので、まずは一度ご相談ください。
*価格は税込です







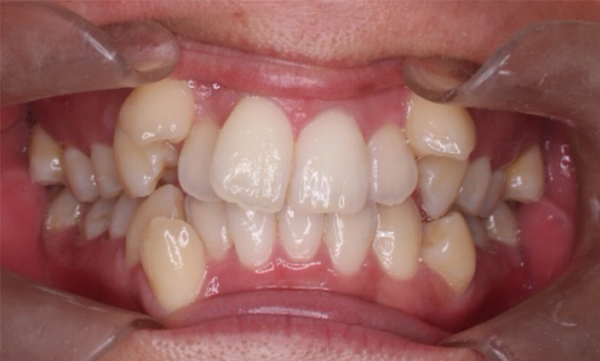
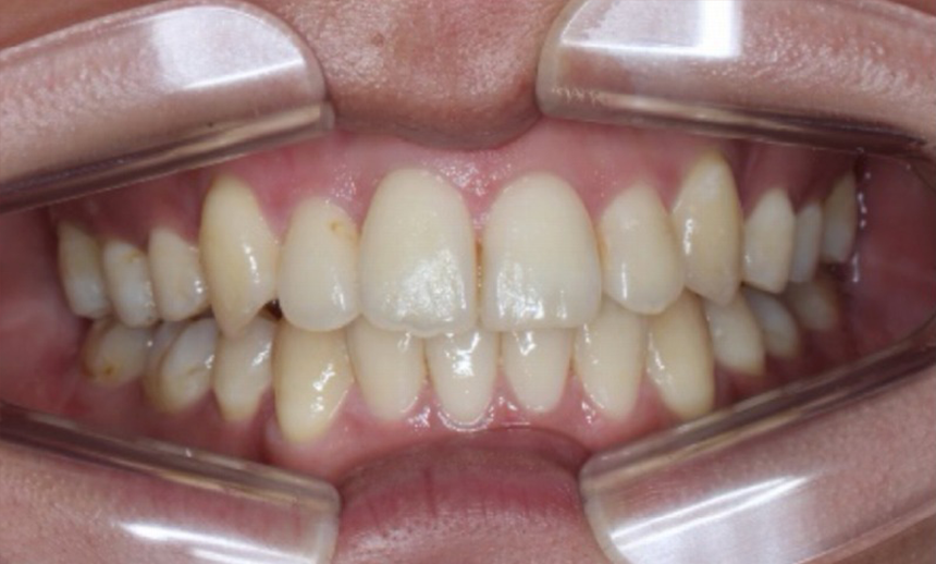
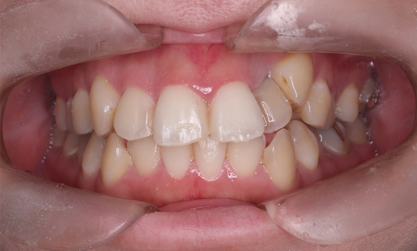
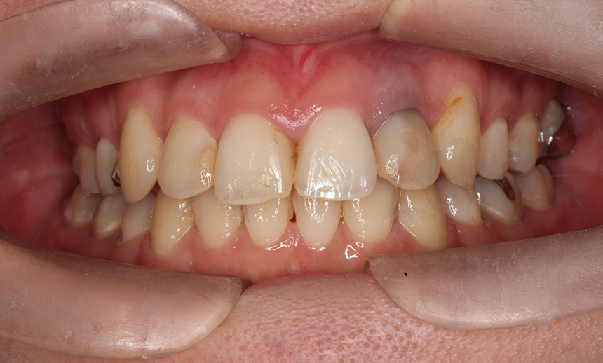
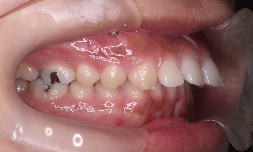
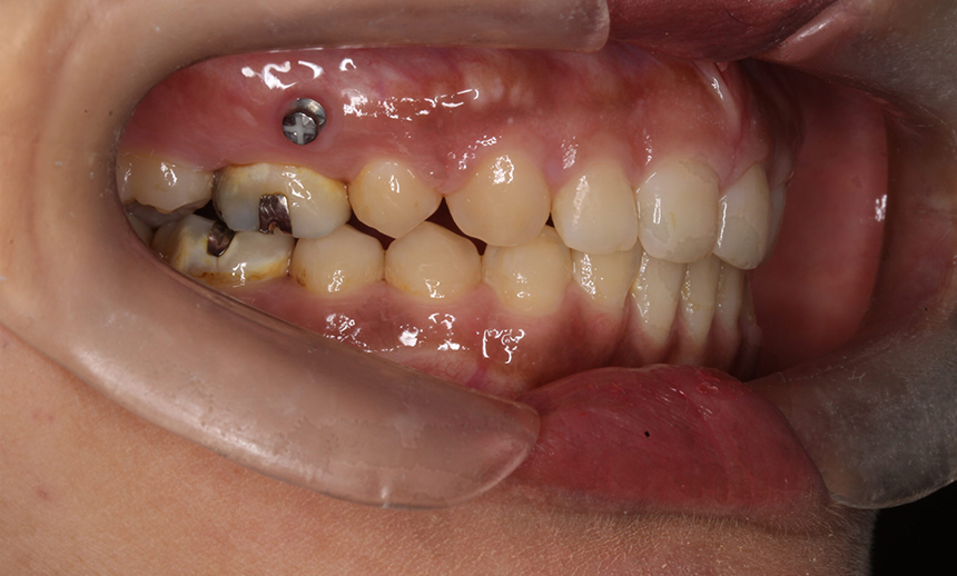
49歳男性・インビザライン、アンカースクリューの使用

BEFORE

AFTER
SHOW MORE SHOW LESS
| 主訴 | 歯並びの凸凹が気になる |
|---|---|
| 診断名/主な症状 | 叢生 |
| 年齢 | 49歳 |
| 治療に用いた主な装置 | インビザライン |
| 抜歯部位 | なし |
| 治療期間・通院回数 | 22ヶ月・通院21回 |
| 治療にかかった費用 |
検査費用: 11,000円 矯正基本料: 633,600円(キャンペーンにより20%引) *いずれも税込 |
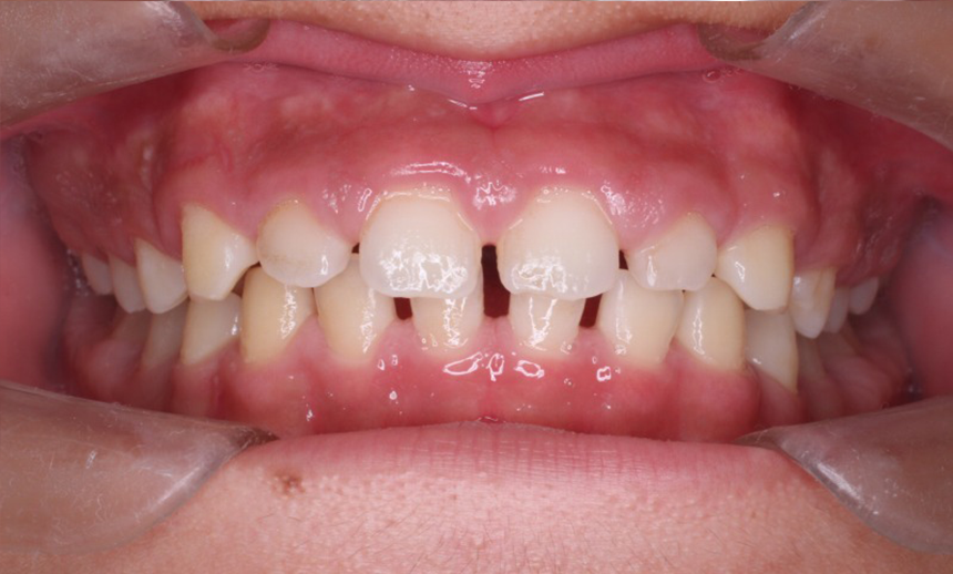
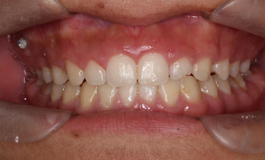
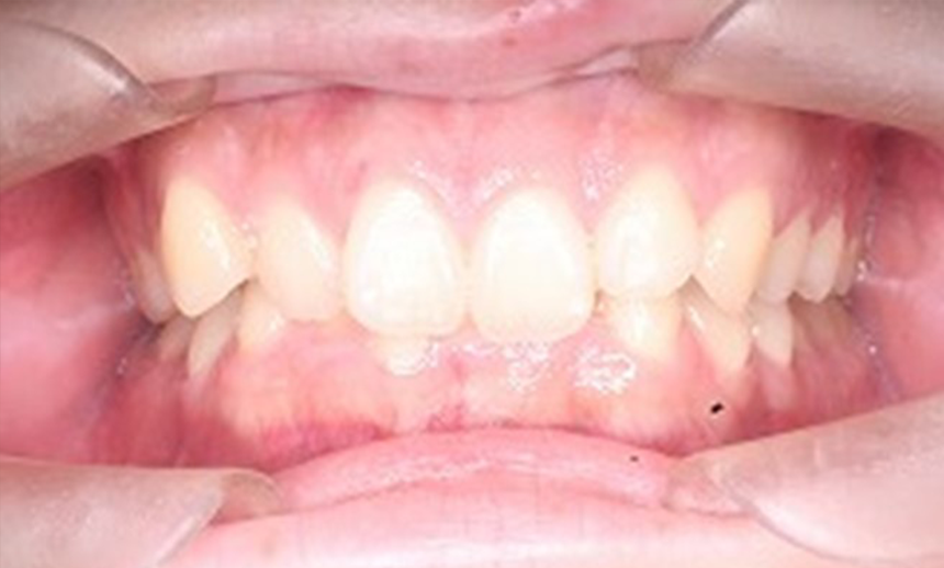
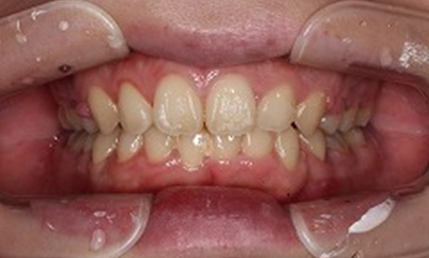
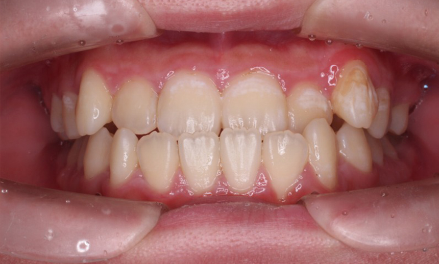
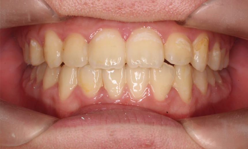
25歳・マルチブラケット装置、アンカースクリューの使用

BEFORE

AFTER
SHOW MORE SHOW LESS
| 主訴 | 八重歯、歯並びが凸凹 |
|---|---|
| 診断名/主な症状 | 叢生 |
| 年齢 | 25歳 |
| 治療に用いた主な装置 | マルチブラケット装置、アンカースクリュー |
| 抜歯部位 | 上下左右第一小臼歯 |
| 治療期間・通院回数 | 令和3年11月~令和6年7月 2年8ヶ月 36回 |
| 治療にかかった費用 |
矯正基本料: 770,400円(キャンペーン料金適応) *いずれも税込 |
12歳・マルチブラケット装置の使用

BEFORE

AFTER
SHOW MORE SHOW LESS
| 主訴 | すきっ歯 |
|---|---|
| 診断名/主な症状 | 空隙歯列 |
| 年齢 | 12歳 |
| 治療に用いた主な装置 | マルチブラケット装置 |
| 抜歯部位 | 非抜歯 |
| 治療期間・通院回数 | 令和2年11月~令和5年9月 2年10ヶ月 35回 |
| 治療にかかった費用 |
矯正基本料: 766,600円(キャンペーン料金適応) *いずれも税込 |
24歳・マルチブラケット装置、アンカースクリューの使用

BEFORE

AFTER
SHOW MORE SHOW LESS
| 主訴 | 出っ歯、八重歯、歯並びが凸凹 |
|---|---|
| 診断名/主な症状 | 上顎前突、叢生 |
| 年齢 | 24歳 |
| 治療に用いた主な装置 | マルチブラケット装置、アンカースクリュー |
| 抜歯部位 | 上下左右第一小臼歯 |
| 治療期間・通院回数 | 令和4年5月~令和6年6月 2年1ヶ月 27回 |
| 治療にかかった費用 |
矯正基本料: 736,200円(キャンペーン料金適応) *いずれも税込 |
28歳・マルチブラケット装置、アンカースクリューの使用

BEFORE

AFTER
SHOW MORE SHOW LESS
| 主訴 | 歯並びが凸凹、過蓋咬合 |
|---|---|
| 診断名/主な症状 | 上顎前突、過蓋咬合 |
| 年齢 | 28歳 |
| 治療に用いた主な装置 | マルチブラケット装置、アンカースクリュー |
| 抜歯部位 | 上顎左右第一小臼歯、左下第一小臼歯 |
| 治療期間・通院回数 | 令4年11月~令和6年10月 1年11ヶ月 24回 |
| 治療にかかった費用 |
矯正基本料: 724,800円(キャンペーン料金適応) *いずれも税込 |
29歳・マルチブラケット装置、アンカースクリューの使用

BEFORE

AFTER
SHOW MORE SHOW LESS
| 主訴 | 出っ歯 |
|---|---|
| 診断名/主な症状 | 上顎前突 |
| 年齢 | 29歳 |
| 治療に用いた主な装置 | マルチブラケット装置、アンカースクリュー |
| 抜歯部位 | 上顎左右円第一小臼歯 |
| 治療期間・通院回数 | 令和3年6月~令和6年12月 3年6ヶ月 47回 |
| 治療にかかった費用 |
矯正基本料: 812,200円(キャンペーン料金適応) *いずれも税込 |
13歳・マルチブラケット装置の使用

BEFORE

AFTER
SHOW MORE SHOW LESS
| 主訴 | 反対咬合 |
|---|---|
| 診断名/主な症状 | 反対咬合 |
| 年齢 | 13歳 |
| 治療に用いた主な装置 | マルチブラケット装置 |
| 抜歯部位 | 非抜歯 |
| 治療期間・通院回数 | 令和3年4月~令和64年12月 1年8ヶ月 25回 |
| 治療にかかった費用 |
矯正基本料: 728,600円(キャンペーン料金適応) *いずれも税込 |
*価格は税込です
矯正相談
無料
精密検査
11,000円
処置料
5,500円
第1期矯正治療
440,000円
第2期矯正治療
418,000円
成人矯正
858,000円
部分矯正
150,000円〜
一度に治療費を
用意するのはちょっと...
例えば...

治療費858,000円の場合

治療費440,000円の場合
当院では、株式会社オリコプロダクトファイナンスのデンタルローンを導入しています。
分割回数を増やしたい方には、デンタルローンのご利用をおすすめしています。
デンタル
ローンとは
半田市の歯医者 かなえ歯科・矯正歯科クリニックでは、
矯正治療費のお支払いにクレジットカードをご利用いただけます。
確定申告をすると、
納めた税金の一部が戻ってきます
医療費控除とは、ご自身や生計を共にするご家族のために医療費を支払った場合に
受けられる、
一定の金額の所得控除のことです。
矯正歯科治療は高価な材料を使用する場合が多く、治療代が高額になることがあるため
医療費控除の対象となります。
毎年1月1日〜12月31日に支払った分を翌年3月15日までに確定申告をすると、
医療費控除が適用されて税金が還付されます。








